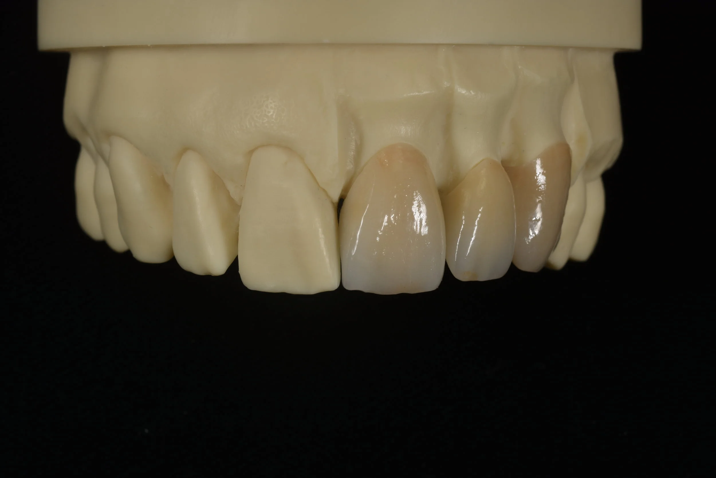
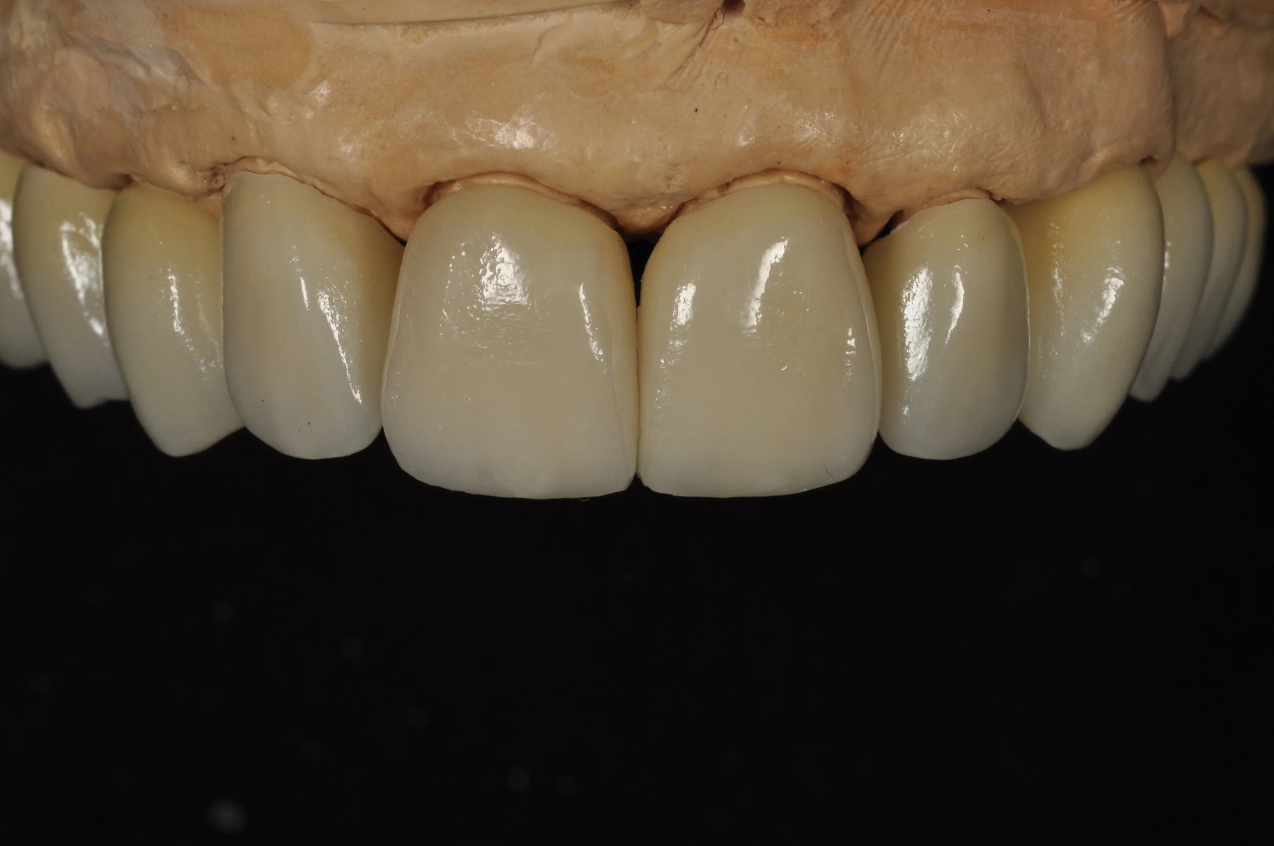
Our extremely talented and experienced team waste no effort to always ensure we offer nothing but the best.
With a team that is hungry for challenging and complex cases, the team always put a collective effort to give the best outcomes.
The team use the best materials available to deliver life-like restorations and provide a full range of solutions from a single-unit crown to a full arch implant-supported restoration.
